全球海外代孕及中国代孕妈妈行业市场资讯平台

试管在线知识星球

专业为试管婴儿而打造,连接一千位试管铁杆星友

200+

成员数量

1年+

运营天数

1700+

知识内容数量

100+

问答

知识星球

试管婴儿骆先生

邀请你加入知识星球,一起学习试管知识

作者:骆先生,爱生育网站主,试管婴儿十余年从业经验,为您试管婴儿的开展保驾护航。

咨询微信: 13357280021
咨询电话: 13357280021
微信扫码加入知识星球

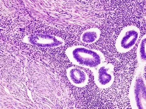
子宫腺肌症

子宫腺肌症是什么
子宫腺肌病曾称内在性子宫内膜异位症,是比较常见的一种妇科疾病,该病症主要是由于子宫内膜腺体和间质侵入子宫肌层形成弥漫或局限性的病变,主要多发于30到50岁左右的经产妇。

子宫腺肌症较为常见同时它对女性的危害也是很严重的,不及早进行治疗会影响到患者的怀孕和生育能力。

子宫腺肌症的症状
子宫腺肌症会随着病情的发展而逐渐加重,因此早发现早治疗非常重要,那么如何判断自己是不是得了子宫腺肌症呢?看以下这些子宫腺肌症症状你就知道。

1、子宫腺肌症早期症状表现在月经失调,女性月经期量增多、经期延长,少数还会出现月经前后点滴出血;
2、痛经也是较为常见的症状,一般发生在年龄较长的妇女,随着年纪增长痛经逐渐加重,往往是痉挛性,会严重影响到日常工作;
3、由于子宫腺肌症是子宫内膜侵入子宫肌层所致,所以一般女性都会伴有子宫内膜异位症,使受精卵不能正常着床,影响正常受孕;

引起子宫腺肌症的原因
子宫腺肌症病因未明,就目前达成的共识来看主要是因为子宫缺乏黏膜下层间接导致的,可能的具体病因如下:

1、生育或诊刮导致内膜损伤,引起子宫内膜向下生长,从而引发子宫腺肌症;
2、子宫腺肌病与女性年龄也有很大部分关系,从数据来看大部分40~60岁的女性使子宫腺肌症发病的高峰人群;
3、除此之外多次流产、分娩以及慢性子宫内膜炎均是可能造成子宫腺肌症的原因之一。

子宫腺肌症如何检查诊断
1、B超检查
2、磁共振成像(MRI)
3、子宫输卵管造影
4、肌层针刺活检
5、影像学检查
6、血清CA125监测

子宫腺肌症怎么治疗
子宫腺肌症治疗方法较多,一般医生会结合患者年龄、症状以及是否有生育要求进行详细的方案选择,具体治疗方法如下:

1 药物治疗
1、仅要求缓解痛经的子宫腺肌病患者,可选择芬必得、消炎痛或萘普生等进行治疗;
2、对症状较轻、近绝经期、暂无生育要求的患者可采用假孕疗法,一般口服避孕药或孕激素来控制子宫腺肌病的发展;
3、对月经量大、痛经且暂无生育要求的患者,可采用含高效孕激素的节育器,以此来间接控制病情的发展,宫内节育器需在五年后取出或更换;
4、假绝经疗法和中医治疗法这里就不过多阐述,基本上对于子宫腺肌症只能起到缓解并不能够彻底根治。

2 手术治疗
1、子宫切除
2、子宫体H型病灶挖除术
3、子宫内膜切除术
4、超声引导下射频消融微创(RFA)术
5、BBT自凝刀技术:(即高频电磁波)
6、无创超声消融治疗:又称超声聚焦刀(通称海扶刀)
7、腹腔镜下U型病灶清除术

早期子宫腺肌症如何预防
以及患病的女性不仅要及早进行治疗,早期的预防也非常的重要,那么子宫腺肌症如何预防呢?具体如下:

1、首先根据导致子宫腺肌症的原因入手,进行针对性预防。女性朋友要做好计划生育,尽量避免人工流产和刮宫;
2、在月经期一定要注意自身的保健,不能有过于剧烈的运动,同时注意保持好心情,避免影响内分泌水平;
3、日常女性一定要注意保暖,不要“美丽冻人”,同时饮食方面不挑食多吃一些富含营养的食物,不宜贪食刺激性或寒凉食物等。

子宫腺肌症吃什么好
除了针对性的治疗外,日常的护理也非常重要,那么子宫腺肌症在饮食方面有什么禁忌,子宫腺肌症吃什么好呢?

1、首先来说说不能吃哪些,不吃含激素成分、生冷寒凉、辛辣刺激性强、酸性的食品。
2、那么吃什么好呢,平时的饮食多吃补血补肾,以性平性温的食物为主,包括牛、羊肉、猪肉,以及一些蔬菜水果等。

常见问题
Q:子宫腺肌症和子宫腺肌瘤一样吗?有哪些区别?
A:两种病症是不一样的,除了都会导致女性不孕症外还是有其他区别的,子宫肌瘤一般没有明显症状,而子宫腺肌瘤症状却非常明显,主要表现在会造成女性痉挛性痛经。

Q:子宫腺肌瘤会癌变吗?
A:不会的,子宫腺肌瘤肌瘤是一种良性的肿瘤,不会引发癌变,但是其症状随着每次月经的推移,逐渐加重症状,让部分患者苦不堪言。

Q:子宫腺肌症治疗多少钱?
A:治疗子宫腺肌症费用大多数时候与患者病情好坏有直接联系,因为病情轻重决定这治疗的方案、治疗方法的选择,同时也影响着治疗费用,如果严重需住院治疗,还会产生住院费、治疗费、护理费等,总之不同患者子宫腺肌症治疗花费不一样。

2025.08.20 65

试管婴儿圈子

提供最具性价比的试管婴儿包成功攻略指南

试管婴儿助孕群
高龄备孕试管群
绝经生育试管群
失独再生育群
试管星球社群
微信扫码加入

试管婴儿百科体系

排名
分类名称
文章数量
1
55篇
2
46篇
3
44篇
4
31篇
5
24篇
6
18篇
7
18篇
8
17篇
9
13篇
10
6篇

试管星友共同好孕

高品质知识社群

试管问题有问必答

微信扫码加入知识星球

微信知识星球社群让您全方面了解试管婴儿技术、流程、费用、成功率、注意事项、防骗等相关信息。

骆先生微信号:13357280021

试管在线知识星球

专业为试管婴儿而打造,连接一千位试管铁杆星友

200+

成员数量

1年+

运营天数

1700+

知识内容数量

100+

问答

知识星球

试管婴儿骆先生

邀请你加入知识星球,一起学习试管知识

作者:骆先生,爱生育网站主,试管婴儿十余年从业经验,为您试管婴儿的开展保驾护航。

咨询微信: 13357280021
咨询电话: 13357280021
微信扫码加入知识星球